Smile with Confidence
Goochland Dentistry will help get you there.
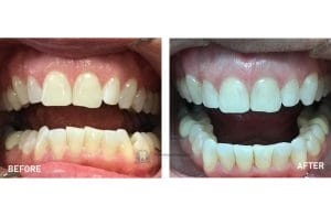
Cosmetic Dentistry
Whether you need an entire smile makeover or just a quick fix, cosmetic dentistry may be the solution you have been seeking. Cosmetic dentistry presents you with a once-in-a-lifetime opportunity to custom-create your dream smile.
Goochland Dentistry Smile Club
No Insurance? No Problem! We are proud to offer our patients an affordable healthcare option that works for the entire family. While other offices and hospitals may deny cash patients, we not only welcome them, but we will help, too.
Our Office
You truly can have advanced and individualized dental care in a compassionate environment at Goochland Dentistry. Here, we believe that everyone deserves exceptional dental care, so you can smile with renewed confidence.

Welcome to Goochland Dentistry, serving Manakin-Sabot, Goochland, Short Pump, and Wyndham since 2002!
Every day, we are entrusted with the health and well being of entire families who, in turn, become our family as well.
Goochland Dentistry offers a revolutionary approach to dentistry that combines exceptional care with experience, dedication, and enthusiasm. Enjoy a healthy and confident smile with compassionate and comprehensive dental care.
- During your appointment, you will have the opportunity to meet our friendly staff and enjoy a guided tour of our offices.
- The world has gone digital, and so has your dentist, with revolutionary smile design software.
- Thoughtful accommodations, like emergency care and pediatric programs make visiting Goochland Dentistry a comfortable and stress-free experience.
Get a Smile Makeover
Click the link below to view your personalized smile makeover!
CLICK HEREInvisalign® clear aligners are an effective treatment to correct several orthodontic issues. This proven technology utilizes a custom set of aligners that are worn in stages, with each one used for a few weeks before moving onto the next set. The slow transition of your Invisalign® aligners allows for gradual correction to your smile without pain, inconvenience, or trouble.
You can easily remove the aligners for cleaning and they require only minimal maintenance, making them a perfect solution for busy teens, as well. You will remove your aligners to eat and drink, as well as to brush and floss. These comfortable aligners fit seamlessly into your mouth, quietly working in the background as you go about your day. Invisalign® may be a perfect solution for you if you have any of the following:
- Overcrowding
- Overbite or underbite
- Crossbite
- Open bite
- Gaps between the teeth
- Crooked alignment
Our Invisalign® program offers specialized doctor-designed and monitored treatment with individualized support throughout the entire process at Goochland Dentistry.
Your dental transformation is now a reality with safe and effective dental implant surgery, offered right here within our convenient and friendly office. Watch the video to learn more about how dental implants can transform your smile.
Expertise, quality, and individual support.
Our office can meet your dental needs, from preventive care to cosmetic and restorative care, we specialize in modern technology and treatments to ensure you receive the best quality care that your entire family can rely upon.
Experience you can trust.
As a trailblazer in the industry, Dr. Murchie offers an unmatched dedication and skill with advanced technology for premium dental care.
ABOUT US
To help you smile, speak, and eat.
Goochland Dentistry has the people, the knowledge, and the technology to provide you with the best in dental care and you are at the center of it all.
OUR MISSION
Convenience for the entire family.
Online scheduling makes securing an appointment a breeze, and we’ll even schedule families together for an extra convenience busy moms and dads are sure to appreciate.
CHECK IT OUTYour dental transformation is now a reality with safe and effective dental implant surgery.
While losing your teeth is undoubtedly an inconvenience, it has serious health effects, too. Big gaps between your teeth can deteriorate both your jaw and facial bones, and even cause damage to your surrounding healthy teeth. Dental implants offer the perfect solution to repair tooth loss and restore normal function and shape. Utilizing little screws to create a stable root, your implant will then be affixed to a custom crown, dentures, or bridgework.
We utilize advanced imaging techniques and innovative technology that allow us to custom-fit the implant to your mouth. Dental implants stimulate bone growth, so in just a few months, your implants will fuse with your natural bone to create a healthy and secure tooth that will last the test of time. Dental implants are a preferred treatment for damaged, decayed, and missing teeth, all with the same look and maintenance of your natural teeth!
